LICHEN PLANUS


લાઇકન પ્લેનસ (Lichen Planus)

1️⃣ લાઇકન પ્લેનસ શું છે?

લાઇકન પ્લેનસ (LP) એ ત્વચા, મોઢું, નખ અને વાળને અસર કરતો સોજાવાળો રોગ છે.
ચેપજન્ય નથી, એટલે બીજા લોકોને લાગતો ની.તેના અલગ અલગ પ્રકારો છે. હઠીલી બીમારી છે. ધીરજ રાખી ને દવા કરવા થી નિયંત્રણ માં આવી શકે છે.

લાઇકેન પ્લેનસનું ચોક્કસ કારણ અજ્ઞાત છે, પરંતુ એવું માનવામાં આવે છે કે તે રોગપ્રતિકારક શક્તિ-સંબંધિત સ્થિતિ છે જ્યાં શરીરની સંરક્ષણ પ્રણાલી ભૂલથી ત્વચા અથવા મ્યુકસ પટલના કોષો પર હુમલો કરે છે. ટ્રિગર્સમાં અમુક દવાઓ (જેમ કે બીટા-બ્લોકર્સ, એનએસએઆઇડી અને એન્ટિમેલેરિયલ્સ), રસાયણોના સંપર્કમાં અથવા વાયરલ ચેપ, સૌથી વધુ નોંધપાત્ર રીતે હીપેટાઇટિસ સીનો સમાવેશ થઈ શકે છે. દંત સામગ્રી, તણાવ અથવા દંત આઘાત જેવા અન્ય પરિબળો પણ ભૂમિકા ભજવી શકે છે, ખાસ કરીને મૌખિક લાઇકેન પ્લાનસમાં.


2️⃣ લક્ષણો (Symptoms)

  • જાંબલી/વાયોલેટ સમતળ દાણા
  • ખૂબ ખંજવાળ
  • દાણાની ઉપર ચમકદાર સપાટી
  • Wickham Striae – સફેદ લીટીયો
  • મોઢામાં સફેદ જાળ
  • નખ પાતળા થવા, તૂટવા
  • સ્કાલ્પ LP માં વાળ ઓછા થવા

3️⃣ લાઇકન પ્લેનસના પ્રકાર અને મુખ્ય રજૂઆત (Types + Key Features)

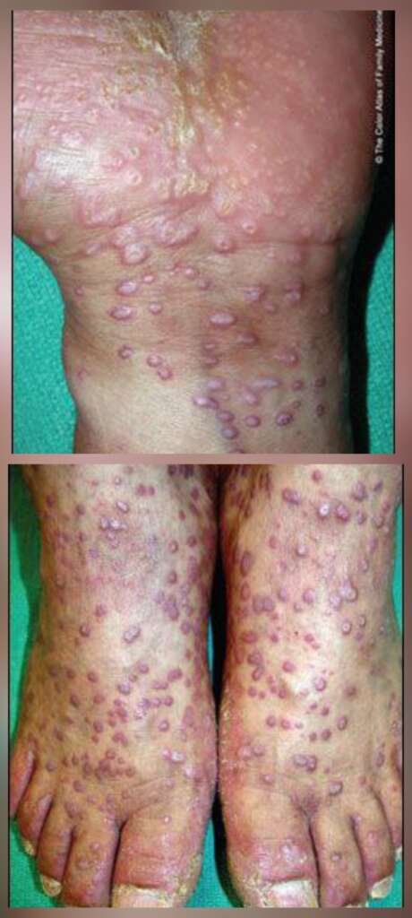
🔸 1. Classic Cutaneous LP

  • જાંબલી દાણા
  • હાથ, કાળાઈ, પગમાં

હાથ અને પગ ના ક્લાસિક લાઇકેન પ્લેનસ ના દાણા – multiple papules of lichen planus over dorsum of feet, palms and wrist.

🔸 2. Hypertrophic LP

  • જાડા, કઠોર, અત્યંત ખંજવાળવાળા દાણા
  • ખાસ કરીને પગમાં

ખરજવા જેવો દેખાતો લાઇકેન પ્લેનસ – multiple chronic Hypertrophic lichen planus lesions over leg

🔸 3. Oral LP

  • મોઢાની અંદર સફેદ જાળ
  • બળતરા

જાંબલી રંગના મોઢા, પેઢા અને હોઠ ના ઓરલ લાઇકેન પ્લેનસ ના ચાઠા (oral lichen planus lesion seen over lip and gums

🔸 4. Scalp LP / Lichen Planopilaris (LPP)

  • વાળની જડને નુકસાન
  • વાળ ઘટે / ન આવે. વિશેષ માહિતી માટે નીચે 👇આપેલી લિંક પર ક્લિક કરો https://www.hetaskinclinic.com/lichen-plano-pilaris/

🔸 5. Nail LP

  • નખ પાતળા, રિજ, તૂટવા

🔸 6. Linear LP

  • લાઇન પ્રમાણે દાણા

Linear llichen planus – લીનીયર લાઇકેન પ્લેનસ

🔸 7. Annular LP

  • રીંગ જેવા ગોળ દાણા

🔸 8. Actinic LP

  • સૂર્યપ્રકાશથી વધે
  • ચહેરો / ગળા

🔸 9. Generalized LP

  • આખા શરીરે અનેક દાણા

🔸 🔟 Lichen Planus Pigmentosus (LPPi)

  • ભૂરુ/ગ્રે-બ્લૂ રંગના પડછાયા જેવા પિગમેન્ટેડ પેચ
  • ચહેરા, ગળા, હાથ-પગના વાળાવાળા ભાગોમાં વધુ
  • ખંજવાળ ઓછી
  • ધીમું પ્રગતિશીલ
  • ભારતીય ત્વચામાં સામાન્ય વિશેષ માહિતી માટે નીચે 👇આપેલી લિંક પર ક્લિક કરો https://www.hetaskinclinic.com/lichen-planus-pigmentosus/

4️⃣ રોગનો કોરસ (Course of Disease)

  • ત્વચાનો LP: 6–18 મહિના સરેરાશ
  • Oral LP: વધારે સમય રહી શકે
  • Hypertrophic LP: લાંબો course
  • Scalp LP: વાળ કાયમી નુકસાન
  • LPPi: ધીમે ચાલે, પિગમેન્ટેશન લાંબું રહે
  • કેટલાક દર્દીઓ માં રોગ ફરી થવાની વૃત્તિ ધરાવે છે.
  • ત્વચા નો LP મટયા પછી ના ડાઘ મટવામાં વધારે સમય લાગે.

5️⃣ પ્રોગ્નોસિસ (Prognosis)

  • ત્વચાનો LP મોટા ભાગે સંપૂર્ણ ઠીક
  • 10–20% માં રિ-લેપ્સ
  • Oral LP લાંબો course
  • LPPi માં ડાર્ક પેચ લાંબા સમય સુધી રહે
  • Scalp LP માં કાયમી હેર લોસ
  • યોગ્ય સારવારથી લક્ષણોમાં સ્પષ્ટ સુધારો

6️⃣ કાળજી (Care)

  • ખંજવાળ ટાળવી
  • મોઈશ્ચરાઈઝર નિયમિત
  • હળવો સોપ
  • Oral LP — મસાલો ટાળો
  • LPPi — સનસ્ક્રીન ફરજિયાત
  • સ્ટ્રેસ ઘટાડવો
  • દવા નિયમિત લેવી આ રોગ માટે ઉપયોગી જીવન શૈલી સલાહ ની માહિતી માટે નીચે આપેલી લિંક પર ક્લિક કરો https://www.hetaskinclinic.com/immunity-mediated-skin-diseases/

લાઈકેન પ્લેનસ સંબંધિત વિડિયો માટે 👇જુઓ



🟡 हिंदी

लाइकेन प्लेनस

1️⃣ क्या है लाइकेन प्लेनस?

यह त्वचा, मुंह, नाखून और बाल को प्रभावित करने वाली सूजन वाली बीमारी है।
यह संक्रामक नहीं है।

लाइकेन प्लानस का सटीक कारण अज्ञात है, लेकिन माना जाता है कि यह एक प्रतिरक्षा प्रणाली से संबंधित स्थिति है जहां शरीर की रक्षा प्रणाली गलती से त्वचा या श्लेष्म झिल्ली की कोशिकाओं पर हमला करती है। ट्रिगर्स में कुछ दवाएं (जैसे बीटा-ब्लॉकर्स, एनएसएआईडी और एंटीमलेरियल), रसायनों के संपर्क में, या एक वायरल संक्रमण, विशेष रूप से हेपेटाइटिस सी शामिल हो सकते हैं। दंत सामग्री, तनाव, या दंत आघात जैसे अन्य कारक भी एक भूमिका निभा सकते हैं, विशेष रूप से मौखिक लाइकेन प्लानस में।


2️⃣ लक्षण (Symptoms)

  • जामुनी/बैंगनी फ्लैट दाने
  • अत्यधिक खुजली
  • चमकीली सतह
  • सफेद रेखाएँ – Wickham’s striae
  • मुंह में सफेद जाल
  • नाखून कमजोर
  • स्कैल्प में बाल झड़ना (LPP)

3️⃣ प्रकार और मुख्य विशेषताएँ (Types + Key Features)

🔸 Classic Cutaneous LP

  • जामुनी दाने
  • हाथ-पैर-कलाई

🔸 Hypertrophic LP

  • मोटे, खुरदरे, बहुत खुजली वाले दाने
  • टखने/पैर

🔸 Oral LP

  • मुंह में सफेद पैटर्न
  • जलन

🔸 Scalp LP / LPP

  • बाल झड़ना
  • फॉलिकल नष्ट

🔸 Nail LP

  • नाखून पतले, रेखाएँ

🔸 Linear LP

  • लाइन में दाने

🔸 Annular LP

  • गोल घेरा जैसे दाने

🔸 Actinic LP

  • धूप से बढ़े
  • चेहरा/गर्दन

🔸 Generalized LP

  • पूरे शरीर में दाने

🔸 Lichen Planus Pigmentosus (LPPi)

  • भूरा/ग्रे रंग का पिगमेंटेशन
  • चेहरा, गर्दन, काख, फ्लેક્સર एરીઆ
  • हल्की या बिना खुजली
  • धीरे-धीरे बढ़ने वाला
  • भारतीय स्किन में आम

4️⃣ रोग का कोर्स (Course)

  • Skin LP: 6–18 महीने
  • Oral LP: कई वर्षों तक
  • Hypertrophic LP: लंबा course
  • Scalp LP: permanent hair loss
  • LPPi: pigmentation लंबे समय तक रहता है
  • Relapse हो सकता है

5️⃣ प्रोग्नोसिस (Prognosis)

  • अधिकांश skin LP पूरी तरह ठीक
  • 10–20% में दोबारा
  • Oral LP: दीर्घकालिक
  • LPPi: pigmentation धीरे कम
  • Scalp LP: irreversible hair loss
  • उपचार से खुजली और दाने में सुधार

6️⃣ देखभाल (Care)

  • खुजलाएँ नहीं
  • Mild साबुन
  • Moisturizer
  • Oral LP – मसाले कम
  • LPPi – सनस्क्रीन ज़रूरी
  • तनाव कम करें
  • डॉक्टर की दवा नियमित


🔵 English

Lichen Planus

1️⃣ What is Lichen Planus?

Lichen Planus (LP) is an inflammatory condition affecting the skin, mouth, nails, and scalp.
It is not contagious.

The exact cause of lichen planus is unknown, but it is believed to be an immune system-related condition where the body’s defense system mistakenly attacks the cells of the skin or mucous membranes. Triggers can include certain medications (like beta-blockers, NSAIDs, and antimalarials), exposure to chemicals, or a viral infection, most notably hepatitis C. Other factors like dental materials, stress, or dental trauma can also play a role, especially in oral lichen planus.


2️⃣ Symptoms

  • Purple flat bumps
  • Intense itching
  • Shiny surface
  • Wickham’s striae
  • Mouth: white lace pattern
  • Nail thinning / ridging
  • Scalp: hair loss (LPP)

3️⃣ Types of LP + Key Features

🔸 Classic Cutaneous LP

  • Purple, itchy, flat papules
  • Wrists, ankles, legs

🔸 Hypertrophic LP

  • Thick, raised, very itchy plaques
  • Mainly legs

🔸 Oral LP

  • White lacy patches
  • Burning sensation

🔸 Scalp LP / Lichen Planopilaris (LPP)

  • Follicular inflammation
  • Progressive irreversible hair loss

🔸 Nail LP

  • Nail ridging, thinning, splitting

🔸 Linear LP

  • Lesions along Blaschko lines

🔸 Annular LP

  • Ring-shaped lesions

🔸 Actinic LP

  • Sun-triggered
  • Face & neck

🔸 Generalized LP

  • Widespread lesions

🔸 Lichen Planus Pigmentosus (LPPi)

  • Brown or grey hyperpigmented patches
  • Face, neck, flexures, upper limbs
  • Little or no itching
  • Slow progression
  • Very common in Indian skin

4️⃣ Course of Disease

  • Skin LP → resolves in 6–18 months
  • Oral LP → may last years
  • Hypertrophic → prolonged
  • Scalp LP → may cause permanent hair loss
  • LPPi → pigmentation often persists long-term
  • May relapse intermittently

5️⃣ Prognosis

  • Most cutaneous LP heals completely
  • 10–20% recurrence
  • Oral LP: chronic but manageable
  • LPPi: pigmentation fades slowly
  • Scalp LP: irreversible hair loss possible
  • Treatment gives clear improvement in itching & inflammation

6️⃣ Care & Lifestyle Tips

  • Avoid scratching
  • Use mild cleansers
  • Daily moisturizers
  • Oral LP: avoid spicy/hot foods
  • LPPi: strict sunscreen use
  • Reduce stress
  • Continue doctor-prescribed medicines regularly